
Сучасная марфалагічная дыягностыка немагчымая без прымянення імунагістахіміі - метаду даследавання тканак з мэтай выяўлення бялкоў з дапамогай спецыфічнай рэакцыі антыген-антыцелы. Імунагістахімічныя метады дазваляюць усталяваць наяўнасць або адсутнасць пэўных бялкоў у тканках, што мае вялікае значэнне ў пастаноўцы дыягназу, асабліва анкалагічнага.
ПАКАЗАННІ ДЛЯ ПРАВЯДЗЕННЯ ДАСЛЕДАВАННЯ
Метад дазваляе дыягнаставаць пухліны, ўсталёўваць іх назалагічны варыянт, выяўляць па метастазах першасны пухлінны ачаг, выяўляць злаякасную трансфармацыю клетак, рабіць прагноз адносна плыні пухліннага захворвання і магчымасцяў мэтанакіраванай тэрапіі пухліны, а таксама выяўляць наяўнасць устойлівасці клетак пухліны да прамянёвай тэрапіі і хімічным прэпаратаў.
Неацэнная роля імунагістахімічнага даследавання пры ацэнцы статусу рака малочнай залозы: рэцэптары палавых гармонаў, праліфератыўная актыўнасць, Her2-статус.
У нашым цэнтры паспяхова прымяняюцца імунагістахімічныя метады пры ацэнцы эндаметрыя (слізістай маткі) у жанчын з бясплоддзем. Гэта дазваляе аб'ектыўна судзіць аб наяўнасці запалення і стане рэцэптараў палавых гармонаў, што дапамагае гінеколагу планаваць лячэнне пацыентак.
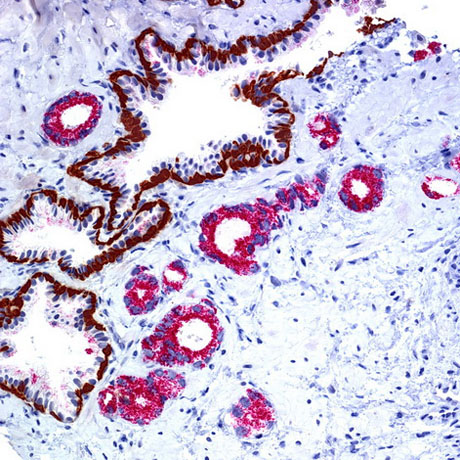
Для ўстанаўлення дыягназу рака прадсталёвай залозы таксама часта выкарыстоўваюць імунагістахімічныя метады. Адсутнасць маркераў базальных клетак (высокамалекулярны цытакератын, р63) у падазроных залозах паказвае на адэнакарцыному прастаты.
ІМУНАГІСТАХІМІЧНЫЯ ДАСЛЕДАВАННІ Ў РКМЦ
Імунагістахімічныя даследаванні ў нашым аддзяленні цалкам аўтаматызаваны, што дазваляе праводзіць дыягностыку па стандартызаваным методыкам і выключае магчымасць памылак персаналу.
ПАДРЫХТОЎКА ДА ДАСЛЕДАВАННЯ
Не патрабуецца, калі забор матэрыялу для даследавання вырабляецца ў цэнтры лечачым урачом.
Калі матэрыял быў узяты ў іншай медыцынскай установе, пацыенту неабходна даць:
- парафінавыя блокі
- па магчымасці поўную суправаджальную дакументацыю (копію накіравання/заключэння, эпікрыз і інш.) - Для правільнай інтэрпрэтацыі змяненняў на тканкавым узроўні патолагаанатам павінен ведаць дадзеныя клінічных і лабараторных даследаванняў.
ЯК АТРЫМАЦЬ КАНСУЛЬТАЦЫЮ Ў РКМЦ
- Калі паўсталі пытанні па кансультацыі - патэлефанаваць у кантакт-цэнтр
- У буднія дні з 8.00 да 15.00 прывезці прэпараты ў РКМЦ (патолагаанатамічнае аддзяленне)
- Пры сабе мець пашпарт
Вынікі даследавання прадастаўляюцца на працягу некалькіх дзён.



